
Rebem el suport del Departament de Drets Socials per millorar la nostra comunicació
La nostra entitat ha rebut una subvenció del Departament de Drets Socials i Inclusió de la Generalitat de Catalunya per desenvolupar el projecte “Disseny i implementació d’un pla estratègic de comunicació inclusiva”. Aquesta ajuda forma part de les subvencions destinades

Quan l’intestí parla: una mirada integradora per entendre i cuidar les MII – Cristina Bellido
Les malalties inflamatòries intestinals, com la colitis ulcerosa i la malaltia de Crohn, van més enllà del sistema digestiu. Cada cop més estudis demostren que el nostre cervell, les emocions, el sistema immune i el que mengem hi tenen molt

1a Trobada anual de socis i sòcies
En el dia d’avui ja podem anunciar la celebració de la 1a Trobada Anual de Socis i Sòcies d’ACCU Catalunya, un esdeveniment molt esperat que promet ser un cap de setmana inoblidable pels membres de l’entitat i les seves famílies.

El Departament de Salut impulsa el nostre projecte de sensibilització sobre les MII
El Departament de Salut de la Generalitat de Catalunya ha aprovat una subvenció per ajudar-nos a desenvolupar el nostre projecte de sensibilització i acompanyament a persones amb Malalties Inflamatòries Intestinals (MII), dins la convocatòria d’ajuts per al foment de la

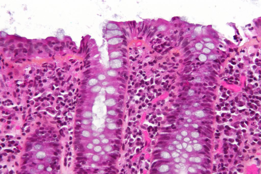
La colitis microscòpica: és o no és una MII?
Les Malalties Inflamatòries Intestinals (MII) són un conjunt de trastorns crònics que causen inflamació del tracte digestiu. A ACCU Catalunya ens esforcem per oferir informació clara i actualitzada sobre aquestes condicions. Tot i que les més conegudes són la malaltia

Més enllà del cos: cuidar la ment quan convius amb una malaltia crònica – Marian Carulla
Quan convivim amb una malaltia crònica com la Malaltia Inflamatòria Intestinal (EII) és fàcil centrar tota la nostra atenció en allò físic: els símptomes, les visites mèdiques, les anàlisis, les proves mèdiques o els tractaments. I això és lògic. El

Assistim a la cerimònia dels Premios Afectivo Efectivo
Aquest matí hem estat al Museu Reina Sofía de Madrid assistint al lliurament dels Premios Afectivo Efectivo, organitzats per Johnson & Johnson en col·laboració amb Cátedras en Red, que aquest any s’han centrat en el paper de la innovació com

L’Ajuntament de Barcelona dona suport a un nou projecte per acompanyar persones amb MII
ACCU Catalunya ha rebut el suport de l’Ajuntament de Barcelona per posar en marxa un nou projecte adreçat a persones amb Malaltia Inflamatòria Intestinal (MII) de la ciutat. La iniciativa té com a objectiu oferir suport psicosocial, orientació personalitzada i

Rebem el suport de la Fundació “la Caixa” per impulsar el programa d’atenció sociosanitària a persones amb MII
La Fundació “la Caixa” finançarà el projecte d’atenció sociosanitària per a persones amb Malalties Inflamatòries Intestinals (MII), presentat per ACCU Catalunya en la convocatòria “Catalunya 2024”. El projecte, que s’executa entre aquest any 2025 i el mes de març de